近日,在长春国文医院在副院长、肝胆/腹膜后肿瘤/胰腺病中心病区主任梁博的带领下,携手北京知名专家成功为一名年近70岁的局部进展期胰腺癌患者实施高难度机器人胰十二指肠切除术。为疑难胰腺癌患者的救治提供了“专家+技术”双驱动的成功范例。
01胰腺癌化疗后腹腔粘连,多家医院拒收
年近70岁的张大爷(化名)因持续上腹隐痛,确诊为“癌中之王”胰腺癌。经过四个月新辅助化疗,肿瘤虽从3.2cm缩小至1.8cm,但也带来了严重副作用——腹腔脏器形成致密粘连,解剖层次完全消失。辗转省内多家知名医院,均因手术风险过高被婉拒,接连的拒绝让家属陷入绝境,张大爷的精神状态也日渐萎靡,甚至开始拒绝治疗。
02国文医院MDT会诊,北京专家手术
抱着最后希望,患者及家属来到长春国文医院。“化疗导致胰腺周围组织慢性炎症、水肿,腹腔脏器形成致密粘连,原本清晰的解剖层次完全消失了。” 梁博副院长解释道,这种情况下进行手术,就像在一团打结的橡皮筋中寻找血管,稍一用力就可能导致大出血,而胰腺癌手术本身就是腹部外科难度最高的四级手术,再叠加粘连因素,风险已超出常规手术范畴。

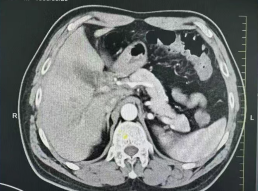
*肿瘤包绕肝动脉
在详细查阅张大爷的病历、化疗记录及影像学资料后,医院肿瘤多学科会诊(MDT)中心立即组织专家团队进行联合评估。影像资料清晰显示了肿瘤的位置、大小及其与周围血管的关系;肿瘤科专家分析了当前化疗方案的疗效与副作用;麻醉科主任评估了心肺功能及麻醉耐受能力;外科团队则重点讨论了粘连分离策略。经综合评估,明确肿瘤已达到R0切除的条件。为使手术方案更加完善,医院特邀北京知名专家前来为张大爷主刀,张大爷从未想到,在吉林也能接受到北京知名专家的诊疗服务。
03精准“拆弹”,R0切除成功
术前,团队为张大爷制定了个性化方案,并进行了三次模拟推演。手术由北京专家主刀,梁博副院长团队配合,共同为患者实施机器人辅助胰十二指肠切除术。术中见胰腺与门静脉、肝动脉等呈“冰冻样”粘连。专家凭借丰富的临床经验,操控达芬奇第四代3D手术机器人——其10倍放大高清视野和360°灵活机械臂,将操作误差控制在毫米级。经过精细分离,成功避开肠系膜上动脉等“生命线”,完整切除肿瘤。病理报告显示“切缘无癌细胞残留(R0切除)”。
04实力:家门口的北京专家平台
张大爷的成功救治,是长春国文医院长期深耕疑难肿瘤诊疗的缩影。医院秉持“专家引进+设备升级+学科建设”三位一体模式,让本地患者在家门口即可获得国家级诊疗。同时引进美国达芬奇手术机器人、西门子Vision 600 PET-CT、256排CT等国际前沿设备,建立常态化MDT制度,形成了从精准诊断到精准治疗的全流程保障。
未来,长春国文医院将继续深化与国内知名医疗平台的协作,推动疑难肿瘤外科治疗向更精准、更安全的方向发展,让区域内更多患者在家门口获得高质量的外科治疗。
微信扫码预约

吉公网安备 22010202001049号 吉ICP备2021003606号