近期,长春国文医院泌尿外科成功救治一例因左侧输尿管结石合并重复肾畸形,继发严重尿源性脓毒血症、感染性休克的危重患者。科室团队严格遵循尿源性脓毒血症治疗规范,使患者转危为安,为复杂泌尿系感染危重症患者赢得了宝贵的生命转机。
凶险急症:感染可迅速发展为休克
尿源性脓毒血症是泌尿系统感染引发的全身炎症反应综合征,也是泌尿外科最凶险的急症之一。当泌尿系结石或梗阻导致尿液引流不畅,细菌大量繁殖并侵入血液,可迅速发展为脓毒血症甚至感染性休克,死亡率极高。
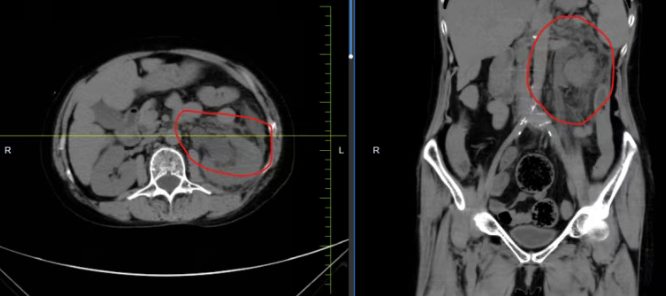
该患者因左侧重复肾畸形合并输尿管上段结石,造成尿路梗阻、肾盂积水,细菌逆行感染引发急性肾盂肾炎、肾周围炎,最终诱发脓毒血症。同时患者合并高血压病3级、低蛋白血症等多种基础疾病,治疗难度显著增加。

规范治疗:阶梯式方案搭建生命防线
长春国文医院泌尿外科团队严格遵循尿源性脓毒血症标准化治疗流程,制定个体化方案。
紧急复苏与抗感染:入院后立即启动液体复苏,纠正低钠、低钾、低钙等电解质紊乱,同时根据药敏结果选用强效广谱抗生素,快速控制全身感染。
解除梗阻与引流减压:优先通过穿刺引流解除梗阻,引出脓血性液体,控制感染进展。待患者生命体征稳定后,计划择期手术解除结石梗阻,避免感染反复。
多学科精细管理:针对高血压、肾功能不全等基础疾病,联合相关科室制定围手术期方案,全程监测生命体征与化验指标,降低并发症风险。
针对患者重复肾这一先天性畸形,团队决定分阶段治疗:先控制感染、稳定全身状况,待病情允许后再评估结石处理与畸形矫正手术时机,既避免急诊手术高风险,又兼顾长期疗效。患者病情稳定后已出院,计划1个月后返院评估手术时机。
专家提醒:高危信号需警惕
尿源性脓毒血症并非毫无预兆。泌尿系结石患者如出现突发高热、寒战、腰痛加剧,或伴有头晕、心慌、四肢湿冷、尿量减少等表现,应立即就医。结石梗阻合并严重感染、肾功能不全、老年或体弱患者,更需格外警惕。
长春国文医院泌尿外科已建立完善的急危重症快速响应与救治流程,为患者提供从急诊抢救到择期手术的全周期诊疗服务。主泌尿系结石、梗阻等问题切勿拖延,尤其是合并基础疾病的高危人群,应及时就医,早发现、早干预。
微信扫码预约

吉公网安备 22010202001049号 吉ICP备2021003606号