近日,长春国文医院泌尿外科成功为一名63岁男性肾盂肿瘤患者实施经皮辅助机器人腹腔镜微创手术。该患者先后有3次心梗病史、7年糖尿病史及频发室性早搏,手术风险极高。医院启动多学科会诊,精准评估、个体化定制方案,最终顺利完成根治性手术,患者术后恢复良好。
间断无痛肉眼血尿,是泌尿系肿瘤的重要预警信号。这名63岁患者因上述症状就诊,最终确诊为左侧肾盂肿瘤。然而,他的身体状况极为复杂:12年心梗病史,先后3次接受冠脉支架、药物球囊扩张手术,长期口服抗凝药物,偶有胸闷胸痛;入院检查提示频发室性早搏、陈旧性下壁心梗;同时合并7年糖尿病。常规手术极易诱发心脑血管意外,属于极高危手术患者。

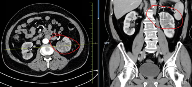
面对这一棘手情况,国文医院泌尿外科团队首先通过腹部增强CT等检查明确肿瘤位置、大小及浸润范围,确立肾盂肿瘤诊断。肾盂肿瘤属于上尿路尿路上皮癌,发病隐匿,根治性肾输尿管切除术是标准治疗术式。
针对患者身体状况,泌尿外科团队摒弃传统开放手术,选择经皮辅助机器人腹腔镜下左侧肾输尿管切除术这一微创术式。该方案既符合肾盂肿瘤根治性切除规范,又能凭借机器人手术操作精准优势,减少术中应激反应,降低对心脏、血糖的影响,实现了“规范治疗”与“个性化适配”的结合。

肾盂肿瘤合并严重心脑血管疾病、糖尿病的患者,既往常被视为手术禁忌或高风险人群。通过多学科协作和微创技术应用,可以在遵循肿瘤根治原则的前提下,为每一位患者找到最适合的治疗路径。
长春国文医院坚持多学科协作模式,依托先进微创技术,为复杂泌尿系肿瘤患者提供规范化、个性化、高品质的诊疗服务。同时提醒公众:无痛性肉眼血尿千万不可忽视,中老年人群一旦出现相关症状,务必及时就医检查,以免延误病情。
微信扫码预约

吉公网安备 22010202001049号 吉ICP备2021003606号