肺部多发结节的诊治,一直是胸外科临床的重点与难点,尤其是同一肺叶出现多枚性质各异结节时,精准切除、减少创伤成为核心诊疗目标。
近日,长春国文医院胸外科杨跃教授带领团队,凭借精湛的微创外科技术与严谨的诊疗思路,成功为一名右肺上叶多发结节患者实施微创手术,一次手术精准切除4枚结节,其中3枚为肺腺癌、1枚为癌前病变。
此次“一刀多切”手术的顺利完成,既彻底根除了患者肺部病灶隐患,又最大程度保留了肺功能,充分彰显了团队在肺部复杂结节诊疗领域的专业实力与救治能力。
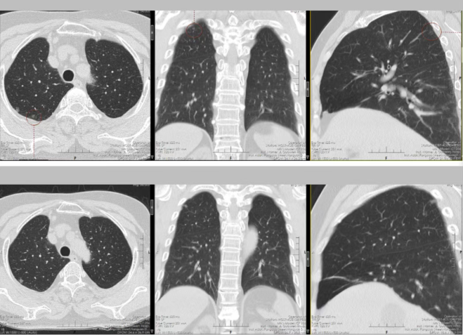
患者因常规体检发现右肺上叶多发结节前来我院就诊。完善胸部CT等相关检查后,影像显示其右肺上叶存在4枚大小、形态均有差异的结节,分布位置较为分散,且多枚结节具备恶性病变的高危特征。若按照传统诊疗模式,此类多发结节往往需分次手术切除,患者不仅要承受多次麻醉、多次手术切口的痛苦,还会面临住院周期延长、治疗费用增加的问题,同时反复手术会对肺功能造成累积性损伤,进一步加重身心负担。

接诊后,杨跃教授团队结合患者影像学资料、身体基础状况进行全面评估,精准研判每一枚结节的位置、潜在风险与病理性质。针对结节分布分散、恶性概率高的特点,团队最终制定出胸腔镜下精准定位+同步切除的个体化手术方案,计划通过单一微创切口,一次性完成4枚结节的完整切除,既实现病灶根治,又最大限度保留正常肺组织,助力患者术后快速康复。

手术当日,在麻醉科、手术室团队的紧密协作下,杨跃教授主刀,凭借娴熟的腔镜操作技术,在狭小的胸腔空间内精准定位每一枚结节,细致分离周围组织,避开血管与支气管,稳步完成4枚结节的切除。术中快速病理结果与术前评估高度一致,确认3枚结节为肺腺癌、1枚为癌前病变,手术切除范围精准、彻底,达到了根治性治疗。

此次“一刀多切”高难度手术的成功,是我院胸外科精准诊疗理念的生动实践,也进一步印证了团队在肺部多发结节微创治疗领域的专业水平。未来,科室将继续深耕胸部疾病的精准化、微创化治疗,不断优化诊疗方案,以更精湛的技术、更严谨的态度为患者提供优质的医疗服务,守护百姓的呼吸健康,为更多胸部疾病患者带来康复的希望。
微信扫码预约

吉公网安备 22010202001049号 吉ICP备2021003606号