近日,长春国文医院泌尿外科成功为一名58岁右侧肾上腺肿瘤合并2型糖尿病患者,实施达芬奇机器人辅助腹腔镜手术。
依托达芬奇手术机器人的高精度操控与灵活稳定的机械臂,在确保肿瘤完整切除的同时,最大程度降低了手术创伤与应激反应,为合并糖尿病患者的安全康复提供了有力保障。充分彰显了科室在肾上腺肿瘤诊疗领域运用前沿微创技术的专业实力与人文关怀。
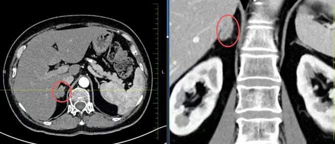
01精准判断 筑牢肾上腺肿瘤诊疗根基

患者因右侧肾上腺肿瘤伴血肿入院,合并2型糖尿病且血糖控制不佳。长春国文医院泌尿外科依托前沿影像学检查(肾上腺CT、激素检测等),结合患者基础疾病与临床症状,实现肿瘤精准定位、性质评估及功能分型。通过多学科评估,明确手术指征与风险点,为后续治疗奠定坚实基础,为个性化治疗提供科学依据。
02微创技术 解锁肾上腺肿瘤治疗新范式
手术是肾上腺肿瘤主要治疗方式,针对患者年龄偏大、基础疾病复杂、对手术创伤耐受性差等特点,泌尿外科团队决定采用达芬奇机器人手术系统,实施经皮机器人辅助腹腔镜肾上腺肿瘤切除术。依托达芬奇机器人精准操作,最大限度减少对正常组织的损伤,助力患者快速康复。
03个体化方案 适配每位患者的诊疗需求
长春国文医院泌尿外科长期聚焦泌尿系肿瘤、结石等疾病的微创化、精准化治疗,配备有达芬奇手术机器人等一批前沿设备,汇聚了一支技术精湛、经验丰富的专业团队。未来,科室将继续秉持“以患者为中心”的服务理念,不断攀登技术高峰,为守护百姓泌尿系统健康提供系统化、精细化的医疗方案。
微信扫码预约

吉公网安备 22010202001049号 吉ICP备2021003606号