近日,长春国文医院神经外科团队为多名脑出血患者成功实施神经内镜下微创血肿清除术。该技术通过颅骨上直径约2-3厘米的骨窗入路,实现血肿的精准清除,将脑出血的手术救治原则进行了完美的诠释。

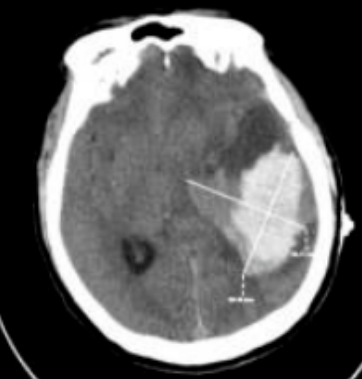
一名中年男性因突发意识障碍紧急入院,头颅CT提示颞叶大量脑出血。长春国文医院神经外科团队迅速启动绿色通道,在充分评估并与家属沟通后,急诊实施神经内镜下脑内血肿清除术。
脑出血起病急骤、致死致残率高。传统开颅手术虽能直接暴露血肿,但需较大切口与骨窗,对脑组织牵拉明显,术后恢复周期较长,且存在再出血及感染风险。
神经内镜技术为脑出血治疗提供了新的手术方式。手术采用小骨窗入路,内镜自带高清冷光源与摄像头,可清晰呈现血肿腔深部结构,帮助术者分辨血肿、脑组织及重要血管神经;
在内镜直视下,医生可多角度清除凝固血块,其清除效率高于传统穿刺引流;高清放大的视野有助于发现活动性出血点并进行电凝处理。由于手术入路对正常组织的干扰较小,患者术后生理状态更为平稳,住院周期相应缩短。
长春国文医院神经外科主任表示:“神经内镜技术通过更精准的手术路径,为脑出血患者提供了不同于传统开颅的治疗选择。科室将继续深耕微创神经外科领域,优化技术应用,为患者提供更优质的医疗服务。”
脑出血重在预防,控制高血压、糖尿病等基础疾病,保持健康生活方式是关键。如遇突发剧烈头痛、恶心呕吐、肢体麻木无力、言语不清等症状,请第一时间就医。
微信扫码预约

吉公网安备 22010202001049号 吉ICP备2021003606号