日常生活中,很多人出现腰背部酸痛时,第一反应往往是“累着了”或“腰肌劳损”,很少会第一时间联想到泌尿系统的问题。今年54岁的孙先生,就差点因为这样的惯性思维延误病情。近日,他在长春国文医疗集团泌尿外科接受了微创碎石手术,成功解除了困扰他半年之久的病痛。

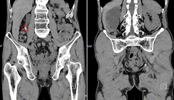
半年前,孙先生开始出现右侧腰背部疼痛,每次发作持续约半小时。由于没有尿频、尿急、尿痛等症状,他便自行在家服用排石药物。然而,病情并未好转。一个月前,孙先生来到长春国文医院就诊,经泌尿系CT检查发现,导致他长期疼痛的“元凶”竟是右侧输尿管上段的一颗结石。
此时,结石已导致上段输尿管及肾盂积水,甚至出现右侧肾皮质变薄的迹象,意味着肾脏已因长期堵塞出现功能性损伤。
面对这一紧急情况,医疗团队首先为孙先生进行了急诊肾穿刺造瘘引流术,在超声引导下精准穿刺,将积存的尿液引流出来。就在引流出液体的那一刻,医护人员发现其肾盂内已积聚脓性液体,提示长期尿液淤积已引发严重感染。引流后,孙先生的病情得到初步控制,为后续手术创造了条件。
一个月后,孙先生再次入院准备接受根治性碎石手术。手术中,医生将纤细的输尿管硬镜经自然腔道进入,直达结石位置,利用高性能钬激光设备将结石精准粉碎,手术碎石率达98%,几乎清除了所有可见结石。
反复发作的腰背部疼痛即使没有排尿异常,也应通过泌尿系B超或CT排除结石可能。小结石长期堵塞输尿管不仅引起疼痛,更会导致肾脏积水和不可逆的功能损伤。目前输尿管硬镜联合钬激光碎石术已非常成熟,是治疗输尿管结石的主流方式。
微信扫码预约

吉公网安备 22010202001049号 吉ICP备2021003606号