长春国文医院拥有24小时待命的医护团队、先进的影像诊断设备,通过优化急诊绿色通道流程、强化多学科协作机制,全面提升急危重症救治能力,能够为脑血管急症患者提供快速、精准的医疗干预。
深夜,120急救车的呼啸声划破宁静,一名陷入深度昏迷的中年男性患者被紧急送入长春国文医院急诊科。据家属描述,患者在家中突发剧烈头痛、呕吐后迅速意识不清。
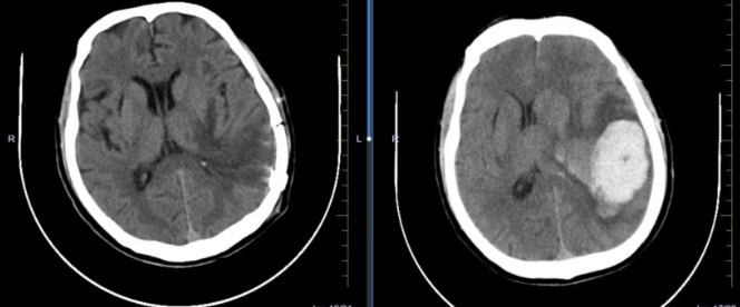
神经外科医师紧急会诊评估:患者深度昏迷,双侧瞳孔不等大,对光反射迟钝。这些是神经急危重症的典型表现。时间就是生命,医院第一时间启动急危重症应急预案,开通绿色通道。头颅CT检查迅速明确了病因:左侧颞顶叶脑出血,并已出现脑疝迹象。
病情就是命令。神经外科团队与家属进行了紧急且充分的沟通,在详细说明病情的凶险性、手术必要性及潜在风险后,家属签署了手术同意书。从患者入院到进入手术室,全程仅用 45 分钟,为抢救赢得关键时间窗口。
手术室内,神经外科团队在神经内镜等设备辅助下,进行手术以清除血肿、降低致命的颅内高压。术后复查显示,患者脑内血肿被成功清除,受压的脑组织得到有效减压。

科普时间:关于高血压性脑出血脑出血(俗称“脑溢血”)是卒中的一种,起病急、病情重、预后差。其中,高血压是导致自发性脑出血最常见的原因。当血压骤然升高时,脑内细小的动脉血管可能破裂出血,形成血肿,压迫脑组织,从而引发头痛、呕吐、偏瘫甚至昏迷,严重时可迅速危及生命。专家提醒:预防脑出血,关键在于有效控制高血压。高血压患者应遵医嘱规律服药,定期监测血压,保持健康生活方式(低盐低脂饮食、戒烟限酒、避免情绪激动)。一旦出现突发剧烈头痛、呕吐、肢体麻木或无力等症状,须立即拨打120急救电话,争取黄金救治时间。
微信扫码预约

吉公网安备 22010202001049号 吉ICP备2021003606号