- 辗转多处终觅“真凶”,长春国文医院PET/CT助力淋巴瘤精准诊断
- 核医学科 > 新闻 阅读:637 次
在长春国文医院,核医学科PET/CT化身“生命雷达”,成功揭开了一位老年患者复杂症状背后的真相。该患者因记忆力减退、行走无力就诊,检查发现颅内、肾上腺、肝脏等多处可疑病灶,却原发不明。医院迅速启动多学科会诊,借助PET/CT全身扫描精准锁定高代谢区域,最终通过病理活检确诊为弥漫大B细胞淋巴瘤。这一案例充分彰显了我院在疑难疾病诊疗中“先进设备+多学科协作”的卓越技术实力,为患者精准治疗指明了方向。
近日,一位老年女性患者因“记忆力减退、反应迟钝、行走无力”一月余,来到长春国文医院神经内科就诊。期间,患者又出现了咳嗽、高热等症状,病情复杂,牵动着家属和医生的心。
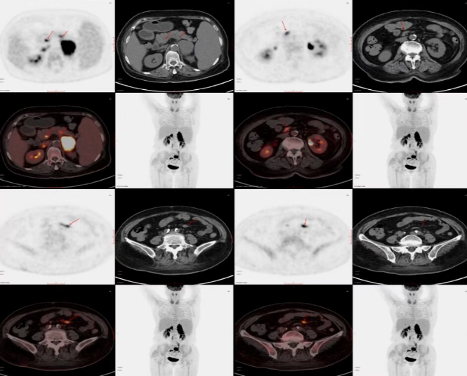
入院后,头部核磁检查首先发现颅内有多发占位,高度怀疑是转移瘤。那么, “元凶”会是肺癌脑转移吗?随后的胸部CT却只发现了慢性支气管炎、肺气肿等陈旧性病变,并未找到预期中的肺部肿瘤。正当诊疗陷入迷雾时,医生在影像上敏锐地发现,上腹部肾上腺区域存在异常肿块。随后的腹部CT进一步显示,双侧肾上腺、肝脏均发现可疑病灶。
脑、肾上腺、肝……病灶似乎无处不在,却又来源不明。为了揭开这层迷雾,我院迅速组织了多学科会诊,并建议患者进行PET/CT检查,以全面评估全身情况。这一查,果然发现了关键线索:除了已知病灶,PET/CT还清晰地捕捉到腹腔、腹膜后多发淋巴结、腹部静脉乃至骨骼上的多处高代谢灶。
核医学科医师团队综合影像特征,给出了关键判断:这极可能是一种能累及全身的血液系统恶性肿瘤——淋巴瘤。最终,通过肾上腺肿物穿刺活检,病理结果证实了PET/CT的推断:非霍奇金淋巴瘤(弥漫大B细胞淋巴瘤),患者随即转入淋巴瘤血液科接受下一步精准治疗。
淋巴瘤:善于“伪装”的全身性肿瘤
淋巴瘤是起源于淋巴系统的恶性肿瘤,可发生于身体的任何部位,临床表现多样,极易与其它疾病混淆,因此也被称为善于“伪装”的肿瘤。在这个案例中,PET/CT发挥了决定性的作用,堪称淋巴瘤诊断与治疗的“导航卫星”和 “金标准” 。

它远不止能看清肿块的大小,更能揭示肿瘤细胞的活跃程度,为医生在治疗的每一个关键节点提供精准决策依据:
1.精准分期: 一目了然地显示全身病灶范围,为制定治疗方案“排兵布阵”。
2.疗效评估: 在治疗中期和结束时,精准判断肿瘤是否缓解,避免无效治疗。
3.预后判断: 通过代谢活性,预测疾病的侵袭性和患者的预后。
4.随访监测: 及早发现复发或转化,为再次治疗赢得宝贵时间。
长春国文医院的“生命雷达”:不止于淋巴瘤
PET/CT被誉为追踪肿瘤的“高精雷达”,也因其在健康筛查中的价值被称为 “生命卫士” 。在长春国文医院,这台先进设备已广泛应用于:
1.肿瘤领域: 早期诊断与鉴别肿瘤良恶性、寻找不明原发灶、精准分期、疗效评估与指导放疗计划等。
2.高危筛查: 针对肿瘤标志物持续异常增高、不明原因体重骤降(半年内下降10%以上)、反复不明原因发热的人群,PET/CT是排除隐匿性恶性肿瘤的有力工具。
3.寻找病灶: 帮助临床医生精准定位活检部位,为病理诊断提供“靶点”。
从“迷雾重重”到“真相大白”,长春国文医院凭借先进的医疗设备、多学科协作的诊疗模式,为复杂疾病患者拨开迷雾,照亮生命之路。
医院官网:int.gwmc.cn
企业邮箱:info@int.gwmc.cn
医院地址:长春市南关区芳草街与康宇路交会
吉ICP备2021003606号
Copyright © 2017 by CopyGuowen medical .co. All rights reserved