- 长春国文医院多学科协作攻坚克难,成功“拆弹”腹腔内22厘米巨大肿瘤
- 肝胆胰/腹膜后肿瘤外科/甲状腺外科 > 新闻 阅读:526 次
近日,长春国文医院肝胆胰/腹膜后肿瘤外科,在梁博副院长的主持下,联合麻醉科、手术室、影像科、病理科等多学科团队,成功为一名73岁高龄患者实施高难度腹腔巨大肿瘤切除术,完整切除直径约22厘米、血供异常丰富的肿瘤。目前,患者恢复良好,已康复出院。
隐匿的巨大占位,常规体检发现腹部肿瘤
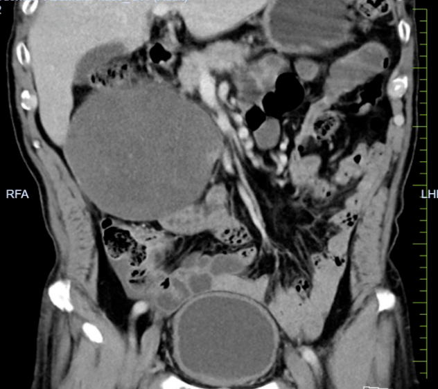
该患者因泌尿系结石于当地医院行CT检查时,发现右中上腹部肠系膜区域存在巨大占位。转入我院后,增强CT检查显示:上腹部肠系膜脂肪间隙内见巨大团块状稍低密度影,病变内可见小血管,且与周围肠管边界不清。尽管患者当时无明显不适症状,但影像学评估提示肿瘤血供极为丰富,并与肠系膜上动静脉关系密切,手术切除难度大,术中面临出血和肠坏死风险。

多学科聚力,精密部署,应对高风险手术
面对挑战,医院启动多学科协作(MDT)机制。影像科团队利用三维重建技术,清晰显示肿瘤与周围关键血管的解剖关系,为手术提供了重要参考;麻醉科团队制定了周密的麻醉与监护方案,备足血液制品及血管活性药物,确保患者术中生命体征平稳;以梁博副院长为首的外科团队,在全面评估后,确立了"分块游离、血管优先"的手术策略,计划在保护重要血管的前提下,逐步分离肿瘤。

高难度手术,精细操作,完整切除
由于患者4年前曾有开腹手术史,腹腔内广泛粘连,为手术带来了困难。手术团队分离粘连组织后,发现肿瘤位于小肠系膜根部,紧邻空肠,形态不规则,质地韧。
小肠系膜根部血管主干密布,是腹腔手术中需要特别谨慎处理的区域。梁博副院长凭借丰富的经验,首先游离肿瘤周围组织。因肿瘤基底部深在,为保护主要血管,术中离断了受累的空肠段。随后,团队沿着肿瘤边缘的正常系膜组织谨慎分离。术中肿瘤渗血明显,麻醉团队精准调控、快速补液,手术室护士紧密配合,保障了手术顺利进行。最终,团队在紧贴肠系膜上动脉的边缘,精准辨识并离断了肿瘤的主要供血血管,将巨大肿瘤完整切除。
快速康复,精心护理,恢复良好
术后患者清醒拔管,转入ICU监护,次日顺利返回普通病房。在医护团队的精心治疗和护理下,患者恢复顺利,能够正常进食。复查腹部CT证实肿瘤已完整切除。
术后病理报告为"梭形细胞间叶性肿瘤,免疫组化结果倾向炎症性肌纤维母细胞瘤"。
专家观点,MDT模式提升复杂疾病诊疗水平
梁博副院长在总结该病例时表示:"面对如此巨大且位置特殊的腹腔肿瘤,需要多科室的紧密配合。成功的关键在于术前的充分评估、多学科团队的无缝协作以及术中的精细操作。MDT模式为处理此类复杂病例提供了有力保障。"
未来,长春国文医院将继续发挥多学科协作(MDT)优势,不断提升技术水平,为更多复杂肿瘤患者提供优质的诊疗服务。
医院官网:int.gwmc.cn
企业邮箱:info@int.gwmc.cn
医院地址:长春市南关区芳草街与康宇路交会
吉ICP备2021003606号
Copyright © 2017 by CopyGuowen medical .co. All rights reserved